Descoperă cazuri clinice reale tratate în clinica noastră și rezultatele obținute pentru pacienții MSmile Orto. Vezi exemple de transformări ale zâmbetului și află cum te putem ajuta.
Tratament ortodontic cu disjunctor și extracții


Pacient în vârstă de 11 ani tratat cu ajutorul disjunctorului, apoi 4 extracții de premolari pentru a crea spațiu suficient erupției caninilor superiori și a permite corectarea mușcăturii.
Tratament Interceptiv și Ortodonție Fixă - Dentiție Mixtă


Aceasta este o pacientă de 9 ani pe care am tratat-o în două etape pentru a obține rezultate optime. În prima fază am aplicat tratament interceptiv specializat pentru copii, folosind un disjunctor pentru expansiunea arcadei superioare. Ulterior, am continuat cu aparat fix bimaxilar pentru alinierea perfectă și corectarea mușcăturii.
Corectarea Supraacoperirilor și Înghesuirilor Dentare


Pentru acest pacient de 20 de ani am rezolvat problemele complexe de înghesuire și supraacoperire folosind aparat fix bimaxilar. Evaluăm fiecare caz individual pentru a alege cea mai eficientă metodă de tratament. Rezultatele au fost obținute în aproximativ 1 an.
Alinierea Dentară cu Gutiere Spark în 8 Luni


Pentru această pacientă de 27 de ani am recomandat alinierea cu gutiere Spark, o soluție discretă și confortabilă pe care o oferim. Tratamentul s-a finalizat în doar 8 luni.
Tratament Ortodontic Fix pentru Înghesuiri Severe


Am tratat cazul cu aparat fix bimaxilar, după o evaluare completă a complexității și a necesarului de spațiu. Cazul a fost finalizat în aproximativ 1 an.
Corectarea Caninului Ectopic cu Extracție Premolar


Această pacientă de 25 de ani ne-a încredințat un caz complex cu canin ectopic și înghesuiri severe. Am realizat extracția premolarului pentru câștigarea spațiului necesar, apoi am aplicat aparat fix bimaxilar pentru rezultate perfecte.
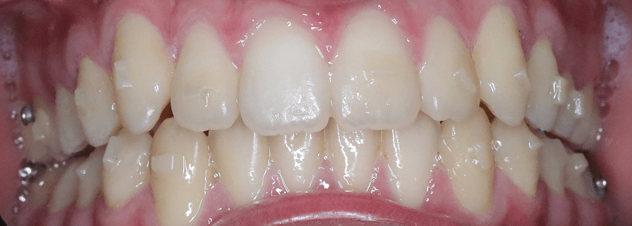
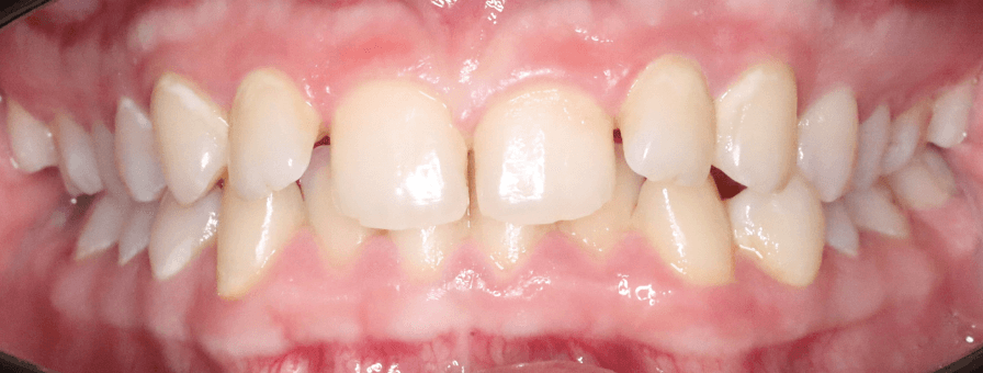
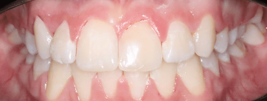
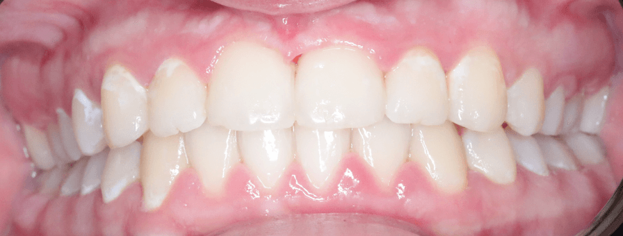
Malocluzie Clasa II și Diastema - Tratament cu Aligners


Pacient în vârstă de 17 ani cu malocluzie dentară de clasa a II-a unilaterală, diastemă (strungă) și înghesuiri dentare. La acest pacient s-a optat pentru gutierele de aliniere Spark. Se poate observa cum s-au închis spațiile și s-a corectat mușcătura. Tratamentul a durat aproximativ 1 an și jumătate.